“Help me, please” He collapsed on the roadside, crying but thousand passerby no one want to help! ????
The Stranger
The road was busy with city traffic when we saw a vulnerable figure across the way—a little creature in need.
The rescuers pulled over and approached the figure across the roadside.
Left to Suffer
The creature lay injured by the roadside, hit by a car. The driver had left without stopping.
The driver sped away, leaving the injured pup on the roadside.
Enjoying this read?
We publish this content for free to generate interest in our Premium members' area. By subscribing, you can ask the writer any questions related to pet care and this article, get access to 100+ Premium Pet Care Guides and go Ad-Free with DogFix Premium for $2.99.
Broken Paw
The puppy stood trembling by the road, his injured paw held up. His small leg was broken as cars sped past without notice.

People hurried past, indifferent to the creature’s suffering.
Desperate Struggle
The rescuers rushed over.

His body trembled with pain as he collapsed onto his side, shuddering with each shallow breath, motionless and defeated.
Innocent Gaze
His wide, pained eyes seemed to plead, ‘Help me.’ They rushed him to the vet, determined to save him.
These tiny souls hold a place in my heart.
A Sweet Patient
At the clinic, the little dog received needed care. Despite his pain, he stayed calm as the staff tended to his injuries, offering a glimmer of hope after his suffering.
The pup remained calm and gentle despite his pain and fear.
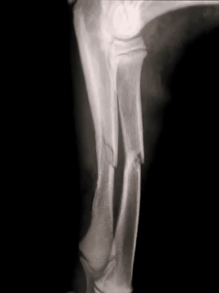
X-Ray Tomorrow
Tonight, he’s resting safely under the rescuer’s roof, no longer scared or in pain.

Tomorrow, a trip to the vet will uncover the extent of his injuries. For now, medication soothes him.
Meet Sejo
They named him Sejo, a fitting name. He’s a four-month-old puppy with much life ahead despite his rough start.
Go to sleep, little Sejo,’ the rescuer whispered, stroking his head. His weary eyes closed, and peace seemed to envelop him.
Dreams for Sejo
Little Sejo lay curled up in his blanket, his frame at ease.
The painkillers dulled his aches, and his eyes grew heavy.

‘Close your eyes, sweet Sejo,’ she whispered, stroking his fur. ‘You’re safe now, and sleep will come.’
Sejo’s Injury
The car ride to the vet with Sejo was tense.
His broken leg weighed on our minds as they hoped for good news. Painkillers kept him calm, but uncertainty tugged at our hearts.

They sat beside him, offering soft words and gentle pats.
The surgery was set for Monday, two days away. Until then, Sejo relied on painkillers for relief.
A Splint and Pie
The vet confirmed Sejo’s broken leg wouldn’t need surgery.

A splint and care would suffice for recovery. His bright eyes assured us he’d heal soon. Nana’s pie helped him recover.
Sejo’s Healing Walks
Sejo’s recovery was progressing well.
The vet confirmed proper healing with no infection.

With a secure splint, Sejo took wobbly steps outdoors, tail wagging.
On the Mend
Sejo’s recovery progressed as he took cautious walks each morning, determination evident in his steps.

Ensuring Sejo feels joy throughout his healing journey is dear to the rescuers.
A Step Forward
Sejo snuggled in his blanket as the vet gave a booster vaccine.
The doctor mentioned the leg splint could be removed in 15–20 days.

Sejo has come a long way since we found him injured and afraid. Seeing him heal fills them with pride.
Sejo’s Fresh Start
Sejo, now healed, dashes through the yard with energy, his tail wagging.
Free from pain, he runs, leaps, and plays, embodying resilience and the power of compassion.
Sejo, once fragile, now thrives with energy.
