Pregnant about to give birth and 2.6kg tumor, she was exhausted lying next to the electrical cabinet
A Stray Encounter
As we exited the café, our eyes fell upon a forlorn dog beside a nearby electrical box. Her matted coat clung to her frail frame. Her damaged eye and pregnant belly were unmistakable.
Her labored breaths and imploring gaze spurred us into action. We purchased a meal and offered it to her. She ate eagerly, hinting at trust. Recognizing her vulnerability, we lifted her into the car and brought her home.
By dawn, this determined mother gifted us with a newborn puppy.

The dog appeared frail, her once luxurious coat now matted and caked with dirt.
A Heartfelt Plea
As she gingerly opened her eyes, it was clear that one was clouded by injury. Her belly was noticeably distended, a telltale sign that she was expecting.

The dog’s labored breath and imploring gaze tugged at our hearts, urging us into action.
Building Trust
Spotting her in such distress, we hurried to a nearby store to get some food for her. When we returned, she gobbled it up with a newfound eagerness, starting to show a flicker of trust in us.

Upon recognizing how grave her condition was, we carefully lifted her into the car.
Midnight Surprise
After we brought her home for the night, she gave birth to a puppy. The pup’s cries at 2 a.m. woke us. We tended to the newborn and its exhausted mother.
By dawn, her condition improved slightly, but her enlarged belly still concerned us.

In the stillness of the early morning, the plaintive whimper of the newborn puppy pierced the quiet, drawing us from our slumber. We hurried to the side of the weary mother and her tiny offspring, ready to offer the care and comfort they needed in those tender, vulnerable hours.
Urgent Trip
As dawn approached, the little puppy nestled close to its weary mother, its plump white form bringing a small measure of comfort. Though her health showed slight improvement by morning, the persistent swelling of her belly stirred growing concern.

Amidst the urgency, we acted swiftly. Realizing the severity of her condition, we did not delay. We gently carried the exhausted mother dog into the car, our hearts racing with worry and hope.
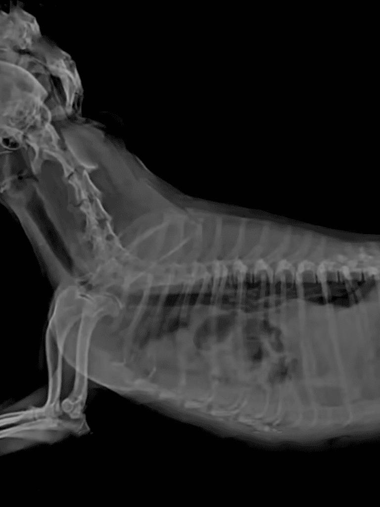
Unscheduled Operation
When we rushed her to the hospital, the news was shocking yet hopeful. An X-ray laid bare the truth we couldn’t see: nestled within her abdomen was a massive, 2.6 kg benign tumor, demanding immediate surgery.

In a well-orchestrated procedure, the surgeons deftly removed the tumor in just two hours. Her recovery journey had begun.
Puppy Therapy
Under the vigilant eyes of the veterinary team, her condition steadily improved over the following days. Yet, there was a noticeable sadness about her, a yearning for her puppy’s comforting presence.

Arriving at the hospital with the puppy, we watched as her eyes lit up with newfound joy.
The Joyful Puppy
The mother dog licked her puppy’s face. Feeling the baby’s warm fur reignited a strength she thought lost, infusing her with energy and healing.

As the weeks passed, the once tiny puppy began to grow swiftly, bringing immense joy to its mother. The veterinarian generously allowed the little one to remain by her side, facilitating their mutual healing process and deepening their bond.
Turning a Corner
Sixteen days after undergoing surgery, her recovery was nothing short of remarkable. She began to put on some healthy weight, started walking with ease again, and the injury to her eye had mended beautifully.

After continued attentive medical care, she finally reached a point where her health stabilized.
Homeward Bound
After a remarkable recovery, it was finally time for her to return home. The veterinarian meticulously outlined a care plan, ensuring her transition back to a warm and loving environment was as seamless as possible.

Once she was finally home, a cozy nook was carefully arranged to cater to her comfort.
Nurturing the Newcomer
In order to ensure the dog’s comfort and support her new role as a mother, we invested in a soft, luxurious mattress and a set of fresh clothes for both her and the puppy.

For twenty days, the puppy blossomed, its tiny eyes fluttering open as it squirmed around and steadily gained weight, growing into a picture of health.
Back to Motherhood
Under the warm glow of home, she embraced the role of a devoted mother once more. Her instincts kicked in, enveloping her young one with tender love and unwavering protection.

With our support, she received nourishing meals and assistance in her recovery journey. In just over a month, her health was fully restored.
Renewed Vigor
After recovery, she sprinted across the yard with newfound energy. Her once frail frame was strong, and her eyes shone with vitality.
Her puppy frolicked at her side, mirroring her exuberance. As they explored, their bond grew stronger, reflecting healing and love.

The connection between her and her caregivers grew stronger daily. Grateful and loving, she returned their kindness.
Her lively puppy echoed her happiness, infusing their home with joy.
Through resilience, she overcame challenges, crafting a tale of hope. We anticipate blessings for this spirited family.
New Beginnings
Over time, she transformed into a beloved part of our family, her gratitude radiating from every affectionate gesture.

The puppy, brimming with energy and playfulness, mimicked its mother’s renewed zest for life.
Their inseparable bond ushered in a blissful new chapter, overflowing with joy and companionship.
Symbol of Hope
She triumphed over adversities to nurture her young one. Her journey toward healing stood as a beacon of hope. Now, both she and her family flourish.

We promise to ensure her continued well-being.